
Diarreia que acontece mais de seis vezes ao dia, algumas vezes com sangue e muco, perda de peso sem explicação, perda de apetite e fadiga são alguns dos sintomas mais comuns das doenças inflamatórias intestinais.
Antes consideradas raras, no Brasil, não são mais: a estimativa de um estudo publicado na revista The Lancet em 2022 é que o país tenha 100 casos a cada 100 mil habitantes. No estado de São Paulo, a prevalência chega a 250 casos para a mesma quantidade de pessoas. Só são consideradas doenças raras aquelas que acometem menos de 65 indivíduos a cada 100 mil.
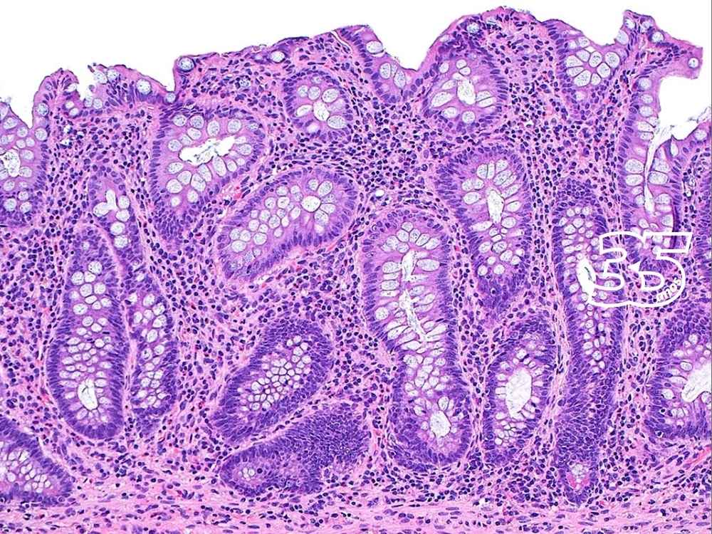
Divididas basicamente entre doença de Crohn (em todo o aparelho digestivo) e retocolite ulcerativa (no cólon, a porção final do intestino), as condições causam inflamação crônica do intestino e podem desencadear úlceras. Ainda não se sabe exatamente como as DIIs se desenvolvem, mas pesquisas sugerem que a flora intestinal pode desencadear uma reação imunológica em pacientes com predisposição genética.
“Tanto a doença de Crohn quanto a retocolite são doenças autoimunes. Os pacientes que são susceptíveis geneticamente, quando têm contato com alguns fatores ambientais, podem ter mais risco de desenvolver doença inflamatória”, explica o coloproctologista Rogerio Parra, professor da USP e diretor do Serviço de Doenças Inflamatórias e Intestinais do Hospital das Clínicas de Ribeirão Preto.
Pessoas entre 20 e 40 anos, principalmente as mulheres, são o principal grupo de risco, mas a comunidade médica vem percebendo diagnósticos também em crianças e idosos. Os casos acontecem, em grande parte, em ambientes urbanizados. Dieta rica em ultraprocessados, tabagismo, poluição e sedentarismo são alguns dos fatores que aumentam o risco e podem servir de gatilho para o desenvolvimento dos sintomas.
Apesar de não ter cura, é possível controlar as DIIs e devolver a possibilidade de vida social aos pacientes. Estima-se que até 70% dos casos são leves e moderados, com tratamento disponível inclusive pelo SUS. O essencial, e mais complicado, é o tratamento precoce.
Muitos casos demoram meses ou até anos para serem diagnosticados, perdendo uma janela essencial para aumentar as chances de sucesso no tratamento. Muitos pacientes acreditam que estão com uma virose, ou comeram algo que não fez bem, e não consideram que os sintomas são suficientes para procurar um médico. Outros, têm vergonha e sofrem sem buscar ajuda.
Os médicos de atenção primária e generalistas também costumam tratar os sintomas como virose ou intoxicação alimentar — como os sintomas são inespecíficos e a doença era vista como rara há poucos anos, o quadro não é identificado como DII rapidamente. O diagnóstico passa pela colonoscopia para ser fechado, e o agendamento do exame também não é rápido na rede pública.
Parra ensina que, idealmente, o paciente deve começar a ser tratado entre seis e 12 meses após o começo dos sintomas. Essa é a janela ideal para que as medicações disponíveis tenham sucesso. “Mas um trabalho brasileiro recente mostrou que existe um atraso grande no país que chega a dois ou três anos entre início dos sintomas e tratamento. Esse tempo importa, e muito”, alerta.
Sintomas das doenças inflamatórias intestinais
- Diarreia que se repete mais de seis vezes ao dia, às vezes com sangue ou muco;
- Dor abdominal;
- Urgência para evacuar;
- Perda de peso sem explicação;
- Fadiga;
- Mudança no ritmo intestinal.
DIIs podem virar câncer?
As doenças inflamatórias intestinais causam um grande impacto na vida do paciente, que normalmente é jovem. Muitos param de sair de casa pela necessidade de evacuar com frequência, desenvolvem ansiedade e depressão, perdem muito peso e ficam com medo de comer algo que não estava programado e passar mal.
Em idade produtiva, os pacientes podem não conseguir trabalhar, têm dificuldade com relacionamento e a dinâmica da família — algumas pessoas precisam voltar a morar com os pais.
Além do comprometimento social, sem controle, a retocolite especificamente pode aumentar o risco de câncer de intestino e de ânus.
Tratamentos disponíveis
Anteriormente, as medicações para tratar as doenças inflamatórias intestinais visavam resolver os sintomas. Como a condição não tem cura, a ideia era controlar o intestino e devolver a qualidade de vida ao paciente. Hoje, os tratamentos vão além e chegam à chamada remissão profunda.
“O objetivo é que, ao fazer uma biópsia, ultrassom ou endoscopia, não se encontre doença ativa. Não basta se sentir bem, é importante estar bem”, explica a diretora de assuntos médicos em imunologia para a América Latina Tatiana Deschamps, da Johnson & Johnson.
Hoje, o principal destaque para pacientes com quadros mais complicados são os inibidores das interleucinas-23, moléculas seguras e eficazes. Os medicamentos bloqueiam a ação da interleucina, uma citocina envolvida em doenças inflamatórias, impedindo que ela se ligue aos receptores nas células e diminuindo a inflamação.
O desafio é que a droga seja eficaz a longo prazo, como um avião em voo de cruzeiro, já que a doença não tem cura.
Em apresentação na UEGWeek, o congresso europeu de doenças gastrointestinais que aconteceu entre 4 e 7 de outubro em Berlim, na Alemanha, pesquisadores mostraram que o guselcumabe, uma das medicações disponíveis no mercado brasileiro, é eficaz por pelo menos 92 semanas sem perder a efetividade.
O estudo mediu resultados endoscópicos e histológicos, que mostram respostas mais profundas ao tratamento, indo além da remissão dos sintomas. Os benefícios foram observados para regimes subcutâneos de 100 mg a cada 8 semanas e 200 mg a cada 4 semanas.
Aprovado pela Anvisa para adultos com doença de Chron e retrocolite ulcerativa moderadas a graves, está disponível para os pacientes com a primeira enfermidade que tenham plano de saúde e sendo avaliado para pessoas com a segunda condição.
“No SUS, só temos três medicações. No caso de Chron, o tratamento no SUS ainda está muito atrasado, só temos um tipo de classe de medicamento, enquanto o paciente que tem plano de saúde tem tudo. Existe uma tentativa para incorporar novas moléculas e atualizar o tratamento — para a doença, por exemplo, a ultima atualização é de 2017”, explica Parra. Ele lamenta, porém, que a próxima diretriz, que deve ser publicada no próximo ano, já virá com atraso, uma vez que provavelmente não contará com as moléculas mais novas.
Dieta faz diferença em doenças inflamatórias intestinais?
A ciência ainda não sabe exatamente o que é o gatilho que dá início ao desenvolvimento das doenças inflamatórias intestinais. Ela só acontece em pessoas com prédisposição genética e, por isso, é difícil criar um caminho claro para prevenir as DIIs.
Os médicos, porém, são unânimes: dieta saudável, sono adequado, exercícios físicos, não fumar, evitar bebidas alcoólicas e a poluição são medidas importantes para evitar as inflamações crônicas do intestino.
“Temos visto que medidas saudáveis, sem ultraprocessados, pouco açúcar refinado, diminuem em cerca de 50% as chances de desenvolver a doença. É importante ter hábitos saudáveis”, explica o gastroenterologista colombiano Fabian Juliao Baños, presidente da Organização Panamericana de Chron e Colite (Pancco).
Dietas específicas, porém, não parecem fazer diferença. A comunidade científica ainda tenta entender o papel da microbiota no desenvolvimento das doenças inflamatórias intestinais, mas pacientes sem intolerância à lactose não precisam limitar o consumo da proteína, por exemplo, por medo de piorar a condição.
“Alimentação anti-inflamatória talvez seja mais pra controle de sintomas, ela não está obrigatoriamente associada ao desenvolvimento ou piora de Crohn ou retocolite. A dieta talvez seja melhor pra reeducação alimentar, para o paciente ter menos sintomas e emagrecimento, mas não necessariamente para tratar a doença”, explica Parra.
FONTE: METROPOLES
